Orthodontic Transformation: Correcting Crowded Teeth and High Canines

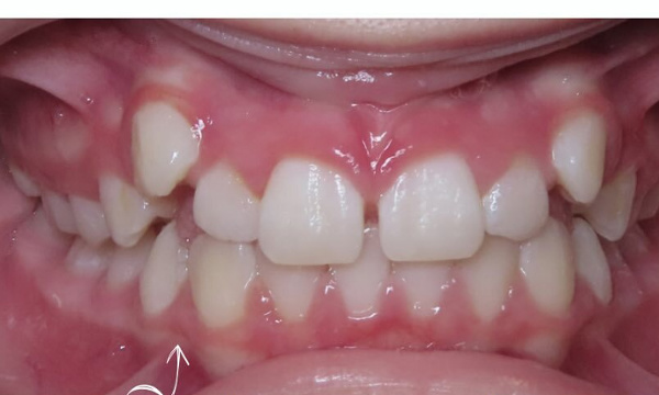
The young patient presented to our dental team with significant upper arch crowding, specifically with "ectopic" or high-positioned canines. The jaw lacked the space for teeth to erupt naturally.

Through comprehensive orthodontic intervention, the dental arch was widened, and the teeth were precisely aligned, resulting in a healthy, functional bite and a radiant, symmetrical smile.

Contact Your Pediatric Dentist in Apple Valley, MN

To learn how orthodontics or braces in Apple Valley, MN, can transform a smile, we recommend booking an evaluation with one of our pediatric dentists.

Still need an appointment?