Accessible Version
Carousel Pediatric Dentistry & Orthodontics

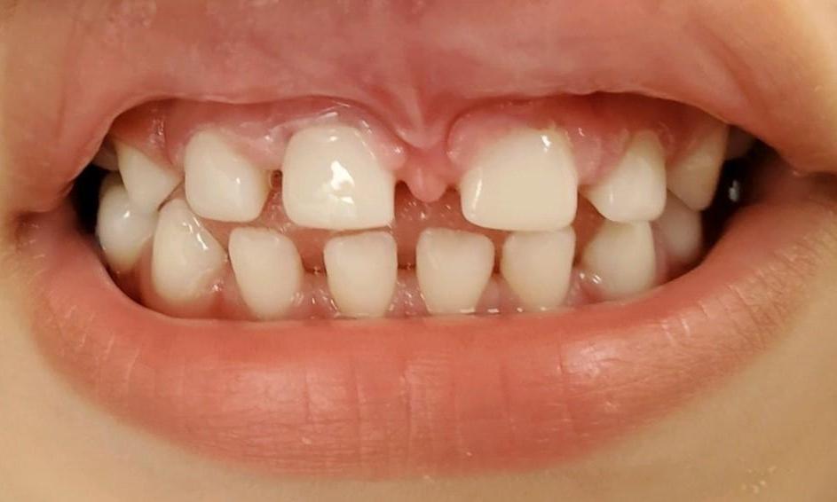
Zirconia crowns are strong and look like natural teeth!

"Thank you so much! We are extremely thankful we found you! We are beyond pleased with the results. It's truly amazing!"

Getting an appointment is fast and easy!
If you have difficulty using our website, please email us or call us at (952) 715-6177
View the ADA Accessibility Statement